

As diretrizes da AASLD (American Association for the Study of Liver Diseases) 2026 para carcinoma fibrolamelar atualizam critérios de diagnóstico e tratamento dessa neoplasia hepática rara, com ênfase em cirurgia, diagnóstico molecular e abordagem multidisciplinar.
📌 Principais pontos das diretrizes AASLD 2026
- Diagnóstico exige confirmação molecular
- Cirurgia é o principal tratamento
- Terapias sistêmicas têm papel complementar
- Ensaios clínicos são prioritários
Carcinoma fibrolamelar: definição, epidemiologia e diferenças do CHC
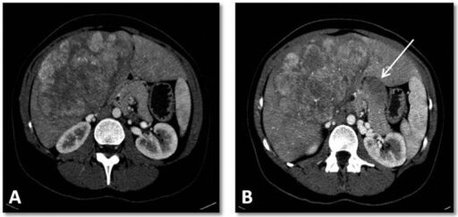
O carcinoma fibrolamelar (CFL) é um câncer primário raro do fígado, com histologia, biologia molecular e apresentação clínica distintas, afetando predominantemente adolescentes e adultos jovens.
Descrito em 1980 como um subtipo do carcinoma hepatocelular (CHC), esse tumor se caracteriza pela presença de citoplasma eosinofílico abundante e faixas lamelares de fibrose intratumoral. Além disso, ocorre tipicamente em pacientes com fígados não cirróticos e níveis normais de alfafetoproteína (AFP).
Leia também: alfafetoproteína como marcador em carcinoma hepatocelular.
A distinção molecular foi consolidada em 2014, com a identificação da fusão gênica DNAJB1:PRKACA, ausente no CHC convencional.
Historicamente, o manejo do carcinoma fibrolamelar foi extrapolado de tratamentos utilizados no hepatoblastoma e no CHC convencional. No entanto, essas abordagens apresentaram baixa resposta clínica e não resultaram em melhora significativa da sobrevida, reforçando a necessidade de estratégias específicas para essa doença.


Diretrizes da AASLD 2026: como foram desenvolvidas e nível de evidência
As diretrizes da AASLD 2026 para carcinoma fibrolamelar foram elaboradas por um painel multidisciplinar composto por 20 especialistas, incluindo oncologistas clínicos e pediátricos, cirurgiões, patologistas, radiologistas, radio-oncologistas e profissionais de cuidados paliativos.
As recomendações foram classificadas como fortes ou fracas de acordo com o nível de concordância entre os especialistas, refletindo o grau de evidência disponível e a experiência clínica acumulada no manejo dessa neoplasia.
Diagnóstico do carcinoma fibrolamelar: critérios clínicos, histológicos e moleculares
O diagnóstico do carcinoma fibrolamelar baseia-se na integração de achados clínicos, histológicos e moleculares, sendo necessários:
- Tumor primário hepático;
- Histologia típica com diferenciação hepatocelular;
- Evidência molecular (fusão DNAJB1:PRKACA ou perda de PRKAR1A).
Critérios adicionais que corroboram o diagnóstico incluem:
- Ocorrência em pacientes jovens;
- AFP normal ou minimamente elevada;
- Ausência de cirrose;
- Presença de cicatriz central em exames de imagem.
Entre os métodos diagnósticos recomendados estão:
- Painéis de fusão gênica (preferencialmente RNA);
- Hibridização fluorescente in situ (FISH);
- RT-PCR;
- Sequenciamento de nova geração (NGS);
- Imuno-histoquímica para HER2;
- Dosagem basal de amônia.
Tratamento do carcinoma fibrolamelar
No contexto do tratamento do carcinoma fibrolamelar, a abordagem cirúrgica permanece como o principal pilar terapêutico, uma vez que a doença apresenta resposta limitada às terapias sistêmicas.
Ressecções agressivas podem ser justificadas, incluindo múltiplos procedimentos ao longo da evolução da doença. Em casos selecionados, a ressecção pode ser realizada mesmo sem biópsia prévia, quando os achados clínicos e de imagem são fortemente sugestivos.
Cirurgia no carcinoma fibrolamelar: linfadenectomia, ressecções e citorredução
O carcinoma fibrolamelar apresenta maior tendência à disseminação linfonodal em comparação ao CHC convencional, o que justifica a realização de linfadenectomia mesmo na ausência de doença extra-hepática evidente.
Pacientes frequentemente toleram ressecções extensas devido à ausência de cirrose. O uso de verde de indocianina pode auxiliar na navegação intraoperatória.
A cirurgia de citorredução também pode ser considerada em diferentes cenários, incluindo doença hepática multifocal, envolvimento linfonodal, metástases peritoneais e disseminação à distância. Quando indicado, múltiplos procedimentos podem ser realizados ao longo do curso da doença.


Transplante hepático: quando indicar segundo a AASLD 2026
O transplante hepático deve ser considerado em pacientes com doença irressecável confinada ao fígado, independentemente dos critérios clássicos de Milão, ampliando as possibilidades terapêuticas nesse contexto.
Terapias locorregionais
As terapias locorregionais desempenham papel importante no manejo do carcinoma fibrolamelar, especialmente em pacientes com doença inoperável ou como estratégia de ponte para cirurgia.
Entre as principais opções estão:
- Radioembolização transarterial (TARE) com ítrio-90;
- Quimioembolização transarterial (TACE);
- Radioterapia estereotáxica corporal (SBRT).
Outras abordagens, como ablação por radiofrequência, micro-ondas e crioablação, podem ser utilizadas em contextos específicos, sobretudo com finalidade paliativa.
Terapia sistêmica: opções atuais e limitações
Embora historicamente limitada, a terapia sistêmica pode ter papel relevante no manejo terapêutico, especialmente em cenários avançados ou como estratégia neoadjuvante.
Os esquemas mais utilizados incluem:
- GEMOX (Gencitabina e Oxaliplatina);
- GEMOX associado ao Lenvatinibe;
- Imunoterapia com Ipilimumabe e Nivolumabe.
Em linhas subsequentes, outras combinações podem ser consideradas, embora não exista um regime claramente superior até o momento.
Ensaios clínicos no carcinoma fibrolamelar: recomendação prioritária
Pacientes com doença avançada ou não ressecável devem, sempre que possível, ser encaminhados para ensaios clínicos, dada a necessidade de desenvolvimento de terapias mais eficazes para o carcinoma fibrolamelar.
Considerando que o carcinoma fibrolamelar afeta predominantemente adolescentes e adultos jovens, a abordagem multidisciplinar é fundamental.
O cuidado deve incluir suporte psicológico, psiquiátrico, assistência social e cuidados paliativos, independentemente do estágio da doença, visando melhorar a qualidade de vida e o suporte global ao paciente.


Conclusão
As diretrizes da AASLD 2026 representam um avanço relevante no manejo do carcinoma fibrolamelar, ao estabelecer critérios diagnósticos mais precisos e orientar estratégias terapêuticas específicas.
Diante da raridade e complexidade dessa neoplasia, a padronização das condutas e o incentivo à inclusão em ensaios clínicos são fundamentais para melhorar os desfechos clínicos.
—
Referências:
O’Neill, et al. Clinical guideline for the diagnosis and treatment of fibrolamellar carcinoma. Hepatology ():10.1097/HEP.0000000000001700, March 18, 2026. | DOI: 10.1097/HEP.0000000000001700.

































